TOP > 症例紹介
【病態】
デグーは非常に活発な性質を持ち、転落や挟まり、飼い主との接触事故、他個体との争いなどにより骨折を起こすことがあります。特に橈骨や脛骨などの四肢の長骨、あるいは尾の骨に骨折が多く見られます。骨が細く、比較的わずかな衝撃でも骨折する可能性があるうえ、カルシウムやビタミンDの不足、慢性疾患によって骨が脆くなっている場合にはさらに骨折しやすくなります。
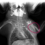
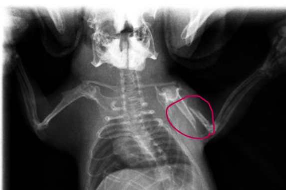
【診断】
骨折すると、足を浮かせて着地を避ける、異常な角度での四肢の保持、動きの低下、痛みを訴えるような行動などが観察されます。視診と触診に加え、レントゲン検査が確定診断に必要です。画像により骨折の位置、ずれの有無、骨片の数や形状、関節への影響などを把握し、治療方針を決定します。
【治療】
骨のずれが少なく、骨折部が安定している場合には外固定による保存療法が選択されます。これは包帯やスプリントを用いて骨の動きを抑え、自然癒合を促す方法です。一方で、骨の変位が大きい場合や関節をまたぐ骨折、粉砕骨折では、ピンやワイヤーによる外科的整復が必要となることがあります。尾の骨折に関しては、多くは自然治癒が見込まれますが、壊死や化膿が見られる場合は断尾を検討します。治療のいずれの場合も、ケージ内の段差をなくすなどして安静を保つ環境整備が重要です。
【予後】
骨折の種類と処置の早さにより予後は大きく異なります。適切に処置された軽度の骨折であれば、三週間から六週間程度で良好に癒合することが多いです。重度の骨折や治療の遅れがある場合には、骨癒合不全、変形癒合、再骨折などのリスクが高まります。術後は感染予防や運動制限を含めた慎重な管理が必要です。再発防止には、飼育環境の見直しと栄養管理の強化が有効です。
| 受付時間 | 月 | 火 | 水 | 木 | 金 | |
|---|---|---|---|---|---|---|
| 9:00 - 11:00 | 〇 | 〇 | 〇 | - | 〇 | |
| 15:00 - 18:30 | 〇 | 〇 | 〇 | - | 〇 |
| 受付時間 | 土日・祝日 | |
|---|---|---|
| 9:00 - 11:00 | 〇 | |
| 14:00 - 17:30 | 〇 |
※臨時休診の場合はお知らせ欄に掲載いたします。
copyright KIND VETERINARY CLINIC All Rights Reserved.