TOP > 症例紹介
【病態】
肛門嚢腺癌は肛門嚢の腺組織に発生する悪性腫瘍で、肛門嚢疾患の約7%を占めます。主に10歳前後の高齢犬に多く見られ、雄犬や未去勢犬に発症率が高い傾向があります。
腫瘍は局所浸潤性が強く、肛門周囲組織や骨、筋肉に浸潤しやすいほか、リンパ節および肺への転移も高頻度で起こります。約50%の症例で転移が認められます。
また、肛門嚢腺癌の特徴的な合併症として、高カルシウム血症を呈する症例が約25〜30%報告されています。これは腫瘍細胞から分泌される副甲状腺ホルモン関連ペプチド(PTHrP)による悪性高カルシウム血症と考えられています。
【診断】
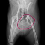
臨床症状は肛門周囲の腫瘤、排膿困難、疼痛、便秘、血便など多彩です。触診により硬結性の腫瘤を確認します。
確定診断には、腫瘤または肛門嚢内内容物の細胞診や組織生検を行い、病理学的に腺癌の診断を確定します。
血液検査では約25〜30%の症例で高カルシウム血症が認められます。その他、リンパ節腫大や遠隔転移の有無を評価するため、胸部および腹部のX線検査、超音波検査、CT検査が実施されます。
【治療】
治療の第一選択は外科的切除で、可能な限り腫瘍を広範囲に摘出します。しかし、浸潤や癒着が強い場合は完全摘出が困難なことも多いです。
術後は放射線療法や化学療法(カルボプラチン、パラディアなど)の併用が推奨されます。ホルモン依存性の腫瘍のため、去勢手術も併せて行われることがあります。
高カルシウム血症に対しては点滴療法や利尿剤、ビスホスホネート製剤などで管理を行います。疼痛緩和や支持療法も重要です。
【予後】
肛門嚢腺癌は腫瘤が巨大化してから発見されることが多く、浸潤性が強く再発や転移が多いため、全体的な予後は不良です。外科切除を行ったほうが生存期間が長く、化学療法や放射線療法を含めるとさらに生存期間が延長することが報告されています。
術後は定期的な画像診断および血液検査による経過観察が推奨されます。
| 受付時間 | 月 | 火 | 水 | 木 | 金 | |
|---|---|---|---|---|---|---|
| 9:00 - 11:00 | 〇 | 〇 | 〇 | - | 〇 | |
| 15:00 - 18:30 | 〇 | 〇 | 〇 | - | 〇 |
| 受付時間 | 土日・祝日 | |
|---|---|---|
| 9:00 - 11:00 | 〇 | |
| 14:00 - 17:30 | 〇 |
※臨時休診の場合はお知らせ欄に掲載いたします。
copyright KIND VETERINARY CLINIC All Rights Reserved.