TOP > 症例紹介
【病態】
アスペルギルス症は真菌であるアスペルギルス属菌の感染により発生する呼吸器疾患です。オカメインコでは比較的発生が多く、免疫低下、栄養不良、換気不良、高湿度環境などが発症リスクとなります。吸入された真菌胞子が気嚢や肺に定着し、肉芽腫性病変を形成することで呼吸機能が障害されます。進行すると気道の狭窄や閉塞が生じ、慢性的な呼吸障害へと移行します。
【診断】
診断は臨床症状と画像検査を中心に行います。開口呼吸、尾羽呼吸、呼吸時の努力増大、活動性低下などがみられます。X線検査では気嚢の不透過性亢進や腫瘤様陰影が認められることがありますが、初期では明確な所見が得られない場合もあります。内視鏡検査により気嚢内の病変を直接観察することで診断精度が向上します。必要に応じて培養検査や遺伝子検査を併用します。
【治療】
治療は抗真菌薬の全身投与を基本とし、症例に応じて吸入療法を併用します。病変が限局している場合には内視鏡下でのデブリードマンが検討されることもあります。あわせて飼育環境の改善、栄養状態の是正、ストレス軽減を行うことが重要です。ただし進行例では治療への反応が乏しいことが多く、管理は長期に及びます。
【予後】
早期に発見し治療を開始できた場合には症状の進行を抑えることが可能です。しかし、症状が重度となり呼吸困難が顕著な段階では救命が困難となることが多く、予後は不良です。予防としては飼育環境の清潔維持、適切な換気、乾燥しすぎない管理、バランスの取れた栄養管理が重要であり、日常的に呼吸状態の変化を観察し早期発見につなげることが重要です。
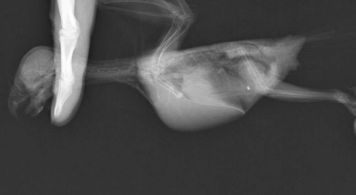
症例:2か月例 性別不明 オカメインコ
今朝から呼吸がおかしいとの主訴で来院。来院時、努力性呼吸で酸素化を行ったが短時間で亡くなってしまいました。
原因の究明のため検案を行いまして、左の肺の主気管支に膿がたまっておりまして、それが死因であるとしました。
膿瘍の大きさは1㎝にも満たない大きさでした。こんな小さなものでここまで重篤な症状が出てしまいます。鳥を飼育の方に置かれましては毎日の体重測定と呼吸状態の確認をお願いしております。
| 受付時間 | 月 | 火 | 水 | 木 | 金 | |
|---|---|---|---|---|---|---|
| 9:00 - 11:00 | 〇 | 〇 | 〇 | - | 〇 | |
| 15:00 - 18:30 | 〇 | 〇 | 〇 | - | 〇 |
| 受付時間 | 土日・祝日 | |
|---|---|---|
| 9:00 - 11:00 | 〇 | |
| 14:00 - 17:30 | 〇 |
※臨時休診の場合はお知らせ欄に掲載いたします。
copyright KIND VETERINARY CLINIC All Rights Reserved.